– Marina Muñoz Cervera –
Necesitamos el suministro de vitamina C a partir de los alimentos.
La mayoría de las especies animales pueden sintetizar vitamina C a partir de la glucosa, pero nosotros no podemos producirla, por ello, nos vemos obligados a consumirla con la alimentación.
Es una vitamina hidrosoluble (soluble en agua) y las cantidades sobrantes que consumimos, se eliminan por orina, por ello, es necesario el suministro continuo de la misma.
Se conocen dos formas:
– Ácido ascórbico: forma reducida de la molécula, es la que tiene mayor poder vitamínico.
– Ácido dehidroascórbico: forma oxidada, tiene muy poco poder vitamínico y es la que consumimos en forma de aditivos alimentarios.
Deficiencia de Vitamina C.
Puede producirse deficiencia de esta vitamina cuando aumentan nuestras necesidades vitales, por ejemplo en los siguientes casos:
– Enfermedades gastrointestinales: regímenes alimentarios para úlceras, diarreas.
– Embarazo y lactancia.
– Tiroxosicosis.
– Enfermedades inflamatorias agudas y crónicas.
– Cirugía y quemaduras.
– Estrés por frío o calor.
O bien, cuando ingerimos poca cantidad de alimentos ricos en Vitamina C.
Los signos y síntomas de su deficiencia son:
– Anemia.
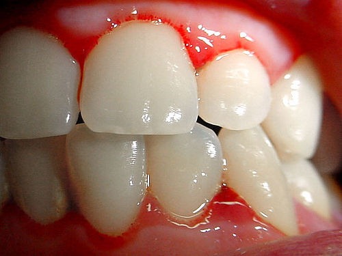
– Encías sangrantes.
– Disminución de la capacidad para combatir infecciones.
– Disminución de la tasa de cicatrización de las heridas.
– Resequedad y formación de mechones por el cabello separados.
– Tendencia a la formación de hematomas.
– Gingivitis (inflamación de las encías)
– Sangrados nasales.
– Posible aumento de peso debido al metabolismo lento.
– Piel áspera, reseca y descamativa.
– Dolor e inflamación de las articulaciones.
– Debilitamiento del esmalte de los dientes.
Por todos es conocido el Escorbuto como enfermedad carencial grave de esta vitamina que, hoy en día, suele darse en desnutridos y ancianos.
Esta antigua patología se reconoció por primera vez en los siglos XV y XVI como una enfermedad grave de los marinos en viajes largos por mar pues no tenían acceso a alimentos frescos incluyendo frutas ni verduras, pero la relación entre la misma y el consumo de cítricos se descubrió en el siglo XX.
En los largos viajes en barco que se realizaban a principios de siglo, los marineros ingleses, llamados «limoneros» sabían que debían consumir limones a diario para no padecer escorbuto.
Zilva en 1923 aisló una sustancia en el jugo del limón que prevenía esta enfermedad y más tarde, Szentz-Gyorgyi aisló la vitamina C del tejido suprarrenal, de las naranjas y la col, llamándola Ácido hexurónico.
En el escorbuto las paredes de los capilares carecen de solidez y se vuelven frágiles, sangran y dan lugar a hemorragias en distintos lugares del cuerpo.
Así, una persona que tenga los siguientes síntomas: cansancio y debilidad, encías inflamadas que sangran fácilmente, hemorragias en la piel y en otros lugares como en la orina, heces, uñas, demora en la cicatrización de las heridas y anemia, aunque no parezca muy gravemente enfermo puede fallecer de repente por insuficiencia cardiaca.
El Escorbuto infantil o Enfermedad de Barlow suele darse en niños entre 2 y 12 meses de edad que son alimentados con biberón y leches procesadas de baja calidad, debido a que el calor destruye la vitamina C al procesar la leche,; las leches de buena calidad tienen suplementada la vitamina para evitar su carencia.
Exceso de Vitamina C.
No es muy común que se den síntomas por exceso de esta vitamina porque como ya sabemos no se acumula en el organismo y la eliminamos por orina, sin embargo, dosis mayores a 2000 mg/día, pueden producir:
– Malestar estomacal.
– Diarrea.
– Disminución de la eficacia de algunos medicamentos por el aumento de la diuresis.
– Uno de los compuestos que se crean con la oxidación de esta vitamina es el oxalato que forma oxalato cálcico; cuando este compuesto insoluble se deposita en los tejidos blandos, como por ejemplo, el riñón, puede dar lugar cálculos renales.
– Alteración de la flora intestinal.
Aumento exagerado de la absorción del hierro que puede dar lugar a un excesivo acúmulo de este mineral.
Enlaces relacionados:
Las mejores fuentes de Vitamina C.
¿Para qué es necesaria la Vitamina C?
Fuentes:
– Mark H. Beers, M.D.; Robert Berkow, M.D. Manual Merck. Décima edición española. Elsevier, S.A. Madrid 2003.
– María del Carmen López, Herminia López, Mª Fátima Olea. Las Vitaminas. Monografía de «Toxicología Alimentaria». Díaz de Santos. Madrid, 2012.
– Michael C. Latham. “Nutrición humana en el mundo en desarrollo”. Organización de las Naciones Unidas para la Agricultura y la Alimentación. Colección FAO: Alimentación y nutrición N° 29. Roma 2002.
– News medical. «Efectos secundarios de la Vitamina C»
http://www.news-medical.net/health/Vitamin-C-Side-Effects-(Spanish).aspx
Última revisión: 31-05-19


























Muy interesante este articulo
Alvaro Sedano Tel: +34 636061693 Enviado desde mi iPhone
Me gustaMe gusta
Muchas gracias, Álvaro¡¡
Me gustaMe gusta
Me gusta!! Si no te importa lo comparto en el blog y en https://www.facebook.com/Nutrisaludeportiva
Amplía el escrito sobre la Vitamina C que publiqué.
Gracias!!
Me gustaMe gusta
No me importa en absoluto se trata de difundir¡¡
Muchas gracias por tu presencia en este espacio
Un cordial saludo
Marina
Me gustaMe gusta